腸道黏膜異常的原因
腸道黏膜異常的原因
國立臺灣大學生命科學系范姜文榮編譯/國立臺灣師範大學生命科學系李冠群副教授責任編輯
編譯來源:日本理化學研究所2013年8月24日訊《腸管粘膜の異常増殖に関わるタンパク質を発見-腸管上皮細胞でタンパク質を輸送するAP-1Bが細胞増殖の制御に関与-》
日本理化學研究所統合生命醫科學研究中心,與東京大學的醫科學研究所等共同研究團隊,發現腸道上皮細胞的細胞內蛋白質輸送控制因子AP-1B蛋白質,如果機能出現異常,會引發腸道黏膜異常增殖。
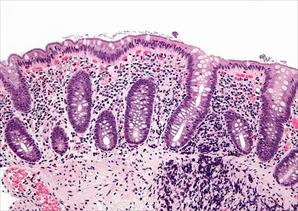
生物體表面常與細菌或病毒等外來物質互相接觸,故透過皮膚或黏膜予以保護。覆蓋在生物體表面上的表皮通常是由多層的表皮細胞或角質層所組成,可形成較為堅韌的保護層,故能防止外來物質的侵入。但是人類消化器官等黏膜表面大多僅為單層上皮細胞所覆蓋,其機械性防禦機能較為脆弱,其中腸道黏膜為了提高營養或水分的吸收效率,擁有高達400平方公尺的表面積,經常接觸食物所含的各種過敏物質和隨著食物攝取而來的外來微生物,並且暴露於高達數百兆個腸內細菌叢中。
腸道上皮細胞的細胞膜處於如此危險的腸道黏膜最前線,能夠清楚區分為面向腸道內腔的「頂區」與面向體內的「底側區」,兩者分別具有不同的蛋白質群,對於區隔體內、外完全不同的環境扮演重要的機能。一個細胞內,不同部位的蛋白質組成與其伴隨的機能不同,此現象稱之為「細胞的極性」。








