跳蚤的使命
跳蚤的使命
國立高雄師範大學生物科技系 許惇偉助理教授
瘟疫、饑荒與戰爭是影響人類族群數目的主要因子、這些天災人禍左右著族群消長,也迫使人們面對極不確定命運,在危亂之中出現的種種思維,往往也影響了人類歷史的方向與文明的演變。
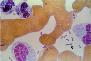
歷史記載最嚴重的瘟疫,是十四世紀開始肆虐歐洲近四百年的黑死病,據信當時歐洲有三成人口死於該瘟疫。但直到十九世紀末科學家才了解,黑死病的主要致病源是寄生在鼠蚤腸道內的鼠疫桿菌(Yersinia pestis)(圖一),該桿菌就藉由老鼠身上的鼠蚤直接或間接傳播給人類。因此人類對於黑死病無知的恐懼,整整持續了五百多年。
黑死病開始蔓延後,面對未知且隨時可能死亡的恐懼,加上大量神職人員也染病身亡,使中世紀歐洲人們對於奠基千年的天主信仰開始動搖,不同的想法陸續出現,理性思考的風氣逐漸成型,據信爾後的文藝復興運動,與繼之而起的啓蒙運動及科學革命,就受到黑死病直接或間接的影響。
舉例來說 1665年到 1666年間,還在內戰末期的英國倫敦發生黑死病,臨近的劍橋大學因此關閉兩年。後來成為科學革命掌舵手之一的牛頓回到家鄉避難,在近兩年鄉居歲月裡,牛頓仔細思考沈澱他長期所觀察到的物理現象並加以整理,最後奠定了他在古典物理學石破天驚的種種發現。同一時間,位在牛津的虎克其名著《微物圖解》付梓,裡面斗大的跳蚤高清晰寫真素描驚豔了世人,但虎克自己絕沒想過,被他描述為老天完美創作的跳蚤,竟然是黑死病的幫兇,如果他當時知道,肯定避之唯恐不及,也不可能把跳蚤抓來當素描對象。


